|
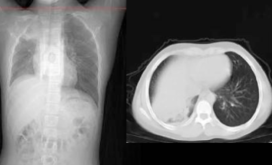
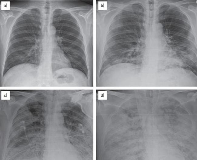
注意预防 秋冬季节本就是北美流感高发季节,但2023年冬天似乎有些不寻常,一种“白肺”疫情正在悄然蔓延,已经在美国爆发,引发一波儿童肺炎感染浪潮! 据外媒报道,美国有两个州现在儿童感染肺炎的病例正在激增,已经让医生们开始担心,这股疫情会扩散开来。 距离俄亥俄州辛辛那提郊外仅30英里的沃伦县,现在已经有142宗确诊“白肺综合症”的儿童病例,且一直在攀升,当地卫生官员表示这个数字已经“极高”。 多个学区都接连出现确诊病例,响起警报。 本周三,卫生官表示:“这不仅高于本地的平均水平,且符合俄亥俄州卫生部对疫情的定义。” 与此同时,马萨诸塞州西部还出现了大量“行走性肺炎”病例。 这个“行走性肺炎”是由细菌和病毒感染的混合物引起的,是一种比较温和的肺部疾病,患者会出现发烧和咳嗽的症状,但是没有痰。 ![]() ![]() 儿科医院的凯利医生接受采访时表示,现在正是呼吸道病毒 RSV 的流行季节,很多孩子患有上病毒性呼吸道感染、咳嗽、流鼻涕,还有一些发烧,对肺部也有影响。 ![]() 现阶段,80%患有“行走性肺炎”的儿童是由于首次感染RSV引起的,20%病例是由细菌引起的,可用抗生素治疗。 对于此波疫情,美国卫生当局也提出了几种可能性,其中之一就是大流行期间的封锁、戴口罩和关校一定程度上削弱了儿童的免疫力,使他们在疫后更容易患上季节性疾病。 康涅狄格州耶鲁大学医学院传染病专家斯科特·罗伯茨(Scott Roberts)博士表示,“这可能是已知病原体的复发,但由于孩子们对它们的免疫力低下,这些病原体的影响更大。” 这两个州目前的疫情都不是由新型病原体引起的,也不是所有的肺炎病例都是由同一感染引起的,而是几种季节性细菌和病毒的混合物同时袭击。 人们开始担心,这波肺炎蔓延,会让美国今年冬天可能爆发不堪重负的感染疫情。对此,CDC表示现在全国范围内尚未出现什么“不寻常”的数据。 除了这两个州,数据显示其他州的儿童肺炎水平遵循“季节性趋势”,没有任何异常情况,但CDC正在继续监测。 俄亥俄州卫生部门正在调查究竟是什么引发了疾病浪潮,疫情爆发的地区人口有200万左右,目前大部分患者都是儿童,平均年龄在8岁左右,有的孩子只有3岁。 ![]() 经检测,许多确诊儿童的肺炎支原体、链球菌和腺病毒检测都呈阳性。大多患者都有发烧、咳嗽、疲劳的症状,目前尚不清楚有没有出现死亡病例。 医生表示,大多数感染都是轻微的,但最近刚感染过呼吸道疾病的人面临更高的风险。 “(现阶段)我们不认为这是一种新型的呼吸道疾病,而是通常人们看到的肺炎,但病例数量正在大幅增加”。 随着假期的临近,大家都会回家团聚,与亲朋好友聚餐,卫生官也提醒所有人,需要采取必要的预防措施。“勤洗手,咳嗽时捂住口鼻,生病时待在家里,并及时接种疫苗。” 通常而言,细菌性呼吸道感染通常每隔几年就会爆发一次,肺炎支原体感染往往每三到七年就会达到顶峰。 只不过,2020年新冠疫情爆发以来,这种疾病还没有达到感染顶峰。 马萨诸塞州的医生表示,这次疫情的主要问题是呼吸道合胞病毒RSV,这是一种呼吸道病毒,每年导致10000多名美国人死亡,其中大多数是幼儿和老人。 “现在就是RSV的高发季节,我们看到了很多孩子患有上层病毒性呼吸道感染、咳嗽、流鼻涕、发烧,而RSV会导致下层病毒性呼吸道感染,传播到肺部。 ![]() 欧洲的荷兰和丹麦也正在经历类似的感染潮,“神秘”肺炎病例达到峰值。 秋冬本来就是各种呼吸道疾病的流行季节,年底了,各种聚会越来越多,希望大家都做好预防措施。 |






Copyright © 1999 - 2026 by Sinoquebec Media Inc. All Rights Reserved 未经许可不得摘抄 | GMT-5, 2026-3-23 12:23 , Processed in 0.155931 second(s), 24 queries .